Nursing Care and Management of a Rare Case of Aggressive High-Grade Urothelial Carcinoma Transforming into Enteric- Type Adenocarcinoma: A Case Report

Vaishnavi Dongare*, Shalini Moon, Manjusha Mahakalkar

Department of Obstetrics and Gynecological Nursing, Datta Meghe Institute of Medical Science (Deemed to be University), 442107 Maharashtra, India

Corresponding Author’s Email: vaishnavidongare2169@gmail.com

ABSTRACT

Bladder cancer, a malignancy with high morbidity and mortality, predominantly affects older adults, with urothelial carcinoma as the most common histological type. However, enteric- type adenocarcinoma arising from high-grade urothelial carcinoma is an exceptionally rare and aggressive variant. This report notes the details of the case of a 44-year-old woman diagnosed at a rural hospital. She presented with hematuria and frequent micturition, leading to a diagnosis of high-grade urothelial carcinoma with villoglandular differentiation. Despite multiple chemotherapy cycles (gemcitabine-carboplatin, followed by Methotrexate, Vinblastine, Doxorubicin, and Cisplatin, or MVAC), the tumor progressed. Imaging revealed extensive invasion, necessitating radical anterior exenteration, including cystectomy, hysterectomy, and ileal conduit construction. Histopathology confirmed transformation into enteric-type adenocarcinoma with perineural and lymphovascular invasion but no lymph node metastases. Adjuvant radiotherapy was administered to mitigate recurrence risk. This case points out the obstacles to managing aggressive bladder carcinoma with histological transformation and highlights the need for a multimodal treatment strategy. Individualized approaches integrating surgery, chemotherapy, and radiotherapy are crucial. Further research is needed to establish standardized protocols and identify biomarkers for early detection and targeted therapy.

Keywords: Chemotherapy; Enteric-type Adenocarcinoma; Radiotherapy; Urothelial Carcinoma

INTRODUCTION

Urothelial carcinoma, the most common subtype of bladder cancer, arises from the bladder’s urothelial cells and predominantly affects older adults. It is frequently associated with smoking and chemical exposure, both of which contribute to its pathogenesis (Leslie et al., 2024). High-grade urothelial carcinoma exhibits aggressive behavior, a high risk of progression, and a propensity for histological transformation. This report presents a unique case of urothelial carcinoma transforming into enteric-type adenocarcinoma, an exceedingly rare occurrence. Such transformations pose significant diagnostic and therapeutic challenges, often requiring multimodal management strategies involving surgery, chemotherapy, and radiotherapy. This case underscores the need for personalized treatment approaches to improve patient outcomes, highlighting the importance of further research into the mechanisms driving histological transformation and therapeutic resistance (Magi-Galluzzi et al., 2008).

Case Study

A 44-year-old female was admitted to a rural hospital, with primary concerns of hematuria and increased urinary frequency persisting for two and a half years. Her family history reveals that her maternal grandmother had cervical cancer. She has no significant comorbidities in her medical history.

Initial diagnostic evaluations, including imaging and biopsy, confirmed high-grade urothelial carcinoma with villoglandular differentiation. Physical examination and imaging revealed an 8.1 x 7.4 x 5.7 cm soft tissue mass with calcified foci extending irregularly toward the bladder's apex, near the uterine wall but not invading adjacent intestinal loops. A PET-CT scan indicated significant invasion, confirming the persistence of disease despite initial chemotherapy. Pathological analysis validated the diagnosis of high-grade urothelial carcinoma invading the lamina propria.


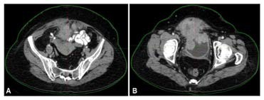
image

Figure 1: CT Images Showing Pelvic Mass Involving the Bladder near Uterine Wall

The CT image of Figure 1 demonstrates the presence of a soft tissue mass arising from the bladder wall and extending toward the uterine surface. These imaging findings supported the initial diagnosis and guided the decision to begin first-line chemotherapy. The patient underwent four cycles of Area Under the Curve (AUC2) gemcitabine + carboplatin chemotherapy. However, due to tumor progression, a therapeutic re-evaluation led to the administration of MVAC chemotherapy. Subsequent PET-CT scans showed further tumor growth (9.6 x 9.2 x 8.6 cm), necessitating radical anterior exenteration, including ileal conduit construction, radical cystectomy, and complete abdominal hysterectomy with bilateral salpingo-oophorectomy.


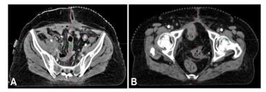
image

Figure 2: CT Images Demonstrating Progression of the Pelvic Mass Following Initial Chemotherapy

This follow-up CT shows significant tumor enlargement despite chemotherapy, justifying the treatment change to MVAC and confirming the aggressive disease course. Histopathological analysis of the resected mass confirmed transformation into enteric-type adenocarcinoma with perineural and lymphovascular invasion but no lymph node metastases. Consequently, adjuvant radiation therapy was administered to enhance local disease control.

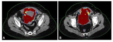
This image displays the targeted radiation fields covering the tumor bed and high-risk pelvic regions. The dose distribution was planned to maximize local control while minimizing exposure to nearby organs.


image

Figure 3: Radiation Dose Distribution Planning on CT for Bladder Carcinoma

Figure 3 illustrates the radiotherapy treatment planning performed after the patient’s radical anterior exenteration. The color-coded dose map shows how therapeutic radiation was precisely directed to the tumor bed and surrounding high-risk pelvic regions while protecting neighboring organs such as the bowel and remaining reproductive structures. The distribution pattern demonstrates adequate coverage of residual microscopic disease areas, supporting the goal of preventing local recurrence and improving long-term treatment outcomes.


image

Figure 4: PET-CT Radiation Therapy Planning for Bladder Carcinoma

Figure 4 shows the PET-CT–based planning image, which integrates metabolic activity with anatomical detail to refine the radiotherapy target area. Regions with increased tracer uptake indicate metabolically active tissue, helping clinicians identify areas at higher risk of harboring residual tumor cells. By combining PET and CT data, the treatment team ensured optimal precision in radiation delivery, minimizing healthy tissue exposure while maximizing tumor control. This advanced planning approach strengthens both therapeutic effectiveness and patient safety.

Timeline

The patient initially presented with hematuria and increased micturition. Following diagnostic evaluation, she was diagnosed with high-grade urothelial carcinoma. She underwent four cycles of AUC2 gemcitabine and carboplatin chemotherapy. However, PET- CT results indicated persistent tumor activity and invasion, leading to the decision for surgical intervention. A radical cystectomy with anterior exenteration was performed, and post-surgical histopathological analysis revealed enteric-type adenocarcinoma. Subsequently, adjuvant radiotherapy was initiated.

Diagnostic Assessment

The patient's diagnosis was established through clinical examination, pathology, and PET-CT imaging. A significant challenge encountered during treatment was resistance to the initial chemotherapy regimen. The final diagnosis revealed high-grade urothelial carcinoma with enteric-type adenocarcinoma features.

Therapeutic Interventions

The patient initially received four cycles of gemcitabine and carboplatin as first-line chemotherapy. However, due to disease progression, she was transitioned to the MVAC regimen as second-line therapy. Surgical intervention included a radical cystectomy, ileal conduit construction, and abdominal hysterectomy. Post-surgery, adjuvant radiotherapy was administered to the surgical bed and high-risk lymphatic regions.

Nursing intervention

The 44-year-old female patient's primary complaints for more than two years were increasing frequency of urination and hematuria, which led to her admission to a rural hospital. Histopathological evaluations and preliminary diagnostic imaging verified high-grade urothelial cancer with villoglandular differentiation. Although she was younger than the average bladder cancer patient, her clinical presentation was in line with aggressive disease development. Cervical cancer in the family sparked questions regarding a potential genetic risk, but no clear-cut hereditary connections were found. Nurses were essential to the diagnostic and treatment process because they kept an eye on the patient's vital signs, urine habits, and reaction to the medication. Frequent monitoring for side symptoms such as fatigue, nausea, and neutropenia was crucial during treatment. Nurses recorded hematuria, changes in urine production, and indications of a systemic infection. Their attentiveness made it possible to identify issues early, which facilitated prompt medical attention and decreased morbidity. An essential component of nursing care was symptom management. The patient complained of gastrointestinal distress, exhaustion, and pain after the recuperation from chemotherapy and surgery.

In addition to providing non-pharmacological comfort measures, including posture, warm compresses, and therapeutic conversation, nurses also gave prescribed analgesics and antiemetics. Following ileal conduit surgery, infections and skin deterioration were avoided with careful adherence to stoma cleaning and skin care. Aggressive cancer and drastic surgery (such as hysterectomy and urinary diversion) had a profound emotional toll. In order to address anxiety, despair, and altered body image, nurses delivered compassionate communication, organized counselling sessions, and provided psychological support. She gained self-care information from patient education courses, particularly regarding stoma management, which helped her restore confidence and control. In the interdisciplinary care team, nurses played a crucial role as coordinators. They made sure that radiologists, surgeons, dietitians, oncologists, urologists, and mental health specialists could all communicate with each other without any problems. Nurses helped to shorten the care process and enhance patient outcomes by planning imaging evaluations, arranging follow-up care, and assisting with patient education. They were also essential in helping with home care support and discharge planning.

Follow-up and Outcomes

At follow-up visits, no recurrence was detected, indicating a positive treatment outcome. The patient was monitored through periodic imaging and clinical assessments. She tolerated radiation therapy well, with no significant complications reported. At the last follow-up, the patient remained disease-free.

Patients Perspective

The patient experienced significant physical and emotional challenges throughout her treatment journey. Initially, she struggled with anxiety and uncertainty regarding her diagnosis, particularly given the aggressive nature of the disease and its resistance to chemotherapy. The need for radical anterior exenteration and an ileal conduit profoundly impacted her daily life, requiring major adjustments in self-care and mobility.

Emotionally, she expressed distress over the changes in her body image and concerns about social stigma associated with urinary diversion. However, she found support through counselling and peer support groups, which helped her navigate these challenges. Regarding treatment decision-making, the patient played an active role, thoroughly discussing available options with her medical and nursing team. Although initially hesitant about extensive surgery and nursing care, she ultimately opted for a multimodal approach after understanding the risks of disease progression. She expressed gratitude for the multidisciplinary care received and emphasized the importance of clear communication between patients and healthcare providers in making informed treatment choices.

DISCUSSION

This case demonstrates how high-grade urothelial carcinoma can occasionally develop into enteric-type adenocarcinoma, a rare and aggressive form of bladder cancer. Upon admission, the 44-year-old female patient displayed typical symptoms such as frequent micturition and hematuria, which are early warning signs that frequently call for a comprehensive urological examination. Her comparatively young age at diagnosis is noteworthy because bladder tumors typically strike older individuals, which raises the possibility of underlying environmental exposures or genetic predispositions.

In this instance, nurses played a crucial role at every stage of the care process. From the first admission through the diagnosis process and treatment, nurses played a crucial role in closely monitoring vital signs, urine output, infection symptoms, and chemotherapy side effects. They made sure that any changes from the patient's baseline state were promptly documented and communicated to the oncology team, facilitating quick medical interventions. One of the main focuses of nursing care was symptom alleviation. Throughout chemotherapy and the postoperative recuperation period, the patient suffered from pain, exhaustion, and nausea. Pharmacologic therapy (e.g., analgesics, antiemetics), non-pharmacologic interventions (e.g., guided relaxation, comfortable positions), and routine evaluations using validated pain and symptom questionnaires were all provided by nurses. Careful training and practical demonstration were necessary for skin and stoma care after ileal conduit creation to guarantee that the patient gained confidence in handling her own self-care after discharge.

A patient's psychological health and body image might be significantly impacted by a radical anterior exenteration and ileal conduit. In addition to facilitating participation in peer support groups, nurses provided emotional support and referred the patient to psychological therapy services. By assisting the patient in overcoming her anxieties about being stigmatized and losing normalcy, these interventions promoted her active involvement in decisions about her care and rehabilitation. Crucially, comprehensive care was guaranteed by interdisciplinary cooperation. In order to ensure seamless transitions between each stage of therapy, nurses served as liaisons between oncologists, surgeons, radiologists, and social workers. They arranged visits, made sure follow-up plans were followed, and informed the patient and her family about recovery timelines and procedural expectations. In order to maximize therapy effectiveness and raise the patient's quality of life, this coordination was essential. The failure of first- and second-line chemotherapy regimen highlighted the limitations of conventional therapies in such aggressive cancer types. Molecular profiling and biomarker testing, though not pursued in this case due to resource limitations, are essential in guiding future personalized treatment options such as immune checkpoint inhibitors or targeted therapies.

This case presents an exceedingly rare transformation of high-grade urothelial carcinoma into enteric-type adenocarcinoma, a phenomenon that remains poorly understood. While histological transformation in bladder cancer has been reported, the shift to an enteric-type variant is uncommon and poses significant diagnostic and therapeutic challenges (Gandhi et al., 2018). Unlike conventional high-grade urothelial carcinoma, which often responds to platinum-based chemotherapy, this case exhibited resistance to both gemcitabine-carboplatin and MVAC regimens, suggesting underlying molecular alterations that may drive chemotherapy resistance (Park et al., 2014). The role of targeted therapies in such cases remains an area of active research.

Bladder cancer predominantly affects older adults, yet this patient was diagnosed at 44 years of age, raising questions about genetic or environmental risk factors. Although no direct hereditary link was established, a family history of cervical cancer suggests a possible predisposition to malignancy. Studies have indicated that early-onset bladder cancer may be associated with distinct genetic mutations, warranting further investigation through next- generation sequencing and molecular profiling to identify genetic contributors to histological transformation (DeGeorge et al., 2017).

Despite chemotherapy, tumor progression and invasion persisted, necessitating radical anterior exenteration. Histopathological findings confirmed perineural and lymphovascular invasion, yet the absence of lymph node metastasis highlights the unpredictable nature of transformed urothelial carcinoma. The role of adjuvant radiotherapy in such cases remains underexplored, though emerging evidence suggests its potential to improve local disease control (Danzig et al., 2018). In this case, it was integrated into treatment to reduce recurrence risk, supporting the growing evidence favoring multimodal management in rare bladder cancer subtypes (Hussain et al., 2009).

This case underscores the necessity of individualized treatment based on tumor histology and molecular characteristics. Given the failure of conventional chemotherapy, exploring precision oncology approaches such as biomarker-driven therapies and immune checkpoint inhibitors is crucial (Tsimberidou, 2020). Targeted molecular inhibitors may offer a more effective strategy for bladder cancer cases with enteric differentiation.

Molecular profiling and biomarker identification are crucial in understanding the genetic drivers behind the transformation of urothelial carcinoma, which can facilitate the development of targeted therapies and lead to improved treatment outcomes (Andreatos et al., 2020). Due to the rarity of enteric-type adenocarcinoma in the bladder, there is a pressing need for multicenter studies and case series to establish standardized, evidence-based treatment guidelines. Furthermore, considering the limited effectiveness of conventional chemotherapy, the role of immunotherapy – particularly immune checkpoint inhibitors – and novel targeted molecular therapies should be thoroughly explored as promising alternatives for better disease management (Kwon et al., 2025).

Limitations

This case report is limited by its single-patient focus, restricting the generalizability of findings. Additionally, the absence of molecular or genetic profiling limits a deeper understanding of the mechanisms driving histological transformation. Future studies should investigate the genetic and molecular characteristics of such rare bladder cancer subtypes to develop targeted, personalized therapies. Long-term follow-up data would also strengthen the understanding of treatment outcomes and recurrence patterns.

CONCLUSION

A multimodal therapeutic approach is essential for managing aggressive high-grade urothelial carcinoma with intestinal differentiation, as demonstrated by this instance. Due to the complex nature of this malignancy, which is marked by rapid growth and resistance to conventional treatments, therapy must be individualized and comprehensive. Since enteric- type adenocarcinoma from high-grade urothelial carcinoma is uncommon, further research is required to comprehend its pathogenesis, find biomarkers for early identification, and develop evidence-based treatment recommendations. In order to provide a comprehensive therapeutic approach, this case also encourages collaboration among oncologists, radiologists, surgeons, and pathologists. Lastly, enhancing treatment options and understanding these rare and aggressive cancer subtypes may significantly increase patient survival and quality of life.

This study provides insights into the rare transformation of high-grade urothelial carcinoma into enteric-type adenocarcinoma, emphasizing the need for a multidisciplinary approach in managing aggressive bladder cancers. The findings highlight the importance of individualized treatment strategies and early detection in improving patient outcomes.

Conflict of Interest

The authors declare that they have no conflicting interest.

ACKNOWLEDGEMENT

The authors would like to express their sincere gratitude to the management and staff of the hospital for their support and cooperation during the study. Special thanks to the patient who willingly participated and shared their valuable time and experiences. The authors also acknowledge the guidance and encouragement provided by the faculty of the nursing department, whose insights greatly contributed to the successful completion of this study.

REFERENCES

Andreatos, N., Iyer, G., & Grivas, P. (2020). Emerging biomarkers in urothelial carcinoma: Challenges and opportunities. Cancer Treatment and Research Communications, 25, 100179. https://doi.org/10.1016/j.ctarc.2020.100179

Danzig, M. R., Mallin, K., McKiernan, J. M., Stadler, W. M., Sridhar, S. S., Morgan, T. M., Bochner, B. H., & Lee, C. T. (2018). Prognostic importance of lymphovascular invasion in urothelial carcinoma of the renal pelvis. Cancer, 124(12), 2507–2514. https://doi.org/10.1002/cncr.31372

DeGeorge, K. C., Holt, H. R., & Hodges, S. C. (2017). Bladder cancer: diagnosis and treatment. American Family Physician, 96(8), 507-514.

https://www.aafp.org/pubs/afp/issues/2017/1015/p507.pdf

Gandhi, J., Chen, J. F., & Al-Ahmadie, H. (2022). Urothelial carcinoma : Divergent differentiation and morphologic subtypes. Surgical Pathology Clinics, 15(4), 641-659.https://doi.org/10.1016/j.path.2022.07.003

Hussain, M. H., Wood, D. P., Bajorin, D. F., Bochner, B. H., Dreicer, R., Lamm, D. L., ... & Dinney, C. P. (2009). Bladder cancer: narrowing the gap between evidence and practice. Journal of Clinical Oncology, 27(34), 5680-5684. https://doi.org/10.1200/JCO.2009.23.6901

Kwon, W.-A., Seo, H. K., Song, G., Lee, M.-K., & Park, W. S. (2025). Advances in therapy for urothelial and non-urothelial subtype histologies of advanced bladder cancer: from etiology to current development. Biomedicines, 13(1), 86. https://doi.org/10.3390/biomedicines13010086

Leslie, S., Soon-Sutton, T., & Aeddula, N. (2024). Bladder cancer. StatPearls. http://www.ncbi.nlm.nih.gov/books/NBK536923/

Magi-Galluzzi, C., Falzarano, S. M., & Zhou, M. (2008). Urothelial carcinoma and its variants. Surgical Pathology Clinics, 1(1), 159-209.https://doi.org/10.1016/j.path.2008.07.004

Park, J. C., Citrin, D. E., Agarwal, P. K., & Apolo, A. B. (2014). Multimodal management of muscle invasive bladder cancer. Current Problems in Cancer, 38(3), 80-108.https://doi.org/10.1016/j.currproblcancer.2014.06.001

Tsimberidou, A. M., Fountzilas, E., Nikanjam, M., & Kurzrock, R. (2020). Review of precision cancer medicine: Evolution of the treatment paradigm. Cancer Treatment Reviews, 86, 102019. https://doi.org/10.1016/j.ctrv.2020.102019